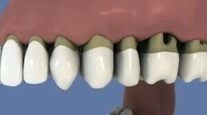
La couronne sur implant recouvre le pilier d'un implant dentaire, comme sur une dent naturelle, afin d’en restaurer l'esthétique et la fonction
Blog
Le bridge complet est collé sur les implants eux-mêmes vissés dans la structure osseuse
Elimination des bactéries et du tartre situés dans la poche parodontale à l'aide d'appareils à ultrasons
L'utilisation de brossettes interdentaires permet un nettoyage approfondi des espaces situés entre les dents et peut éviter une récidive de parodontite
Après préparation de gouttières ajustées à sa dentition, le patient utilise chez lui un gel actif de blanchiment qu'il injecte dans cette gouttière
En cas de résorption osseuse empêchant la pose d'un implant, prélèvement d'un bloc osseux sous les racines des incisives
Découvrez notre collection de fiches et vidéos pédagogiques






