Cabinet dentaire du Docteur Aurélien TREILLE,
Chirurgien-dentiste à Nice
Chirurgie, Implantologie, Esthétique
Accueil
Notre cabinet
Accès/horaires
Implantologie
Chirurgie orale
Info patient
Vidéos 3D
Urgences
Contact
Questionnaire pré-RDV
Cabinet dentaire du Docteur Aurélien TREILLE,
Chirurgien-dentiste à Nice
Chirurgie, Implantologie, Esthétique
12, Avenue Malaussena
06000
NICE
+33 4 93 85 85 26
Accueil
Notre cabinet
Accès/horaires
Implantologie
Chirurgie orale
Info patient
Vidéos 3D
Urgences
Contact
Questionnaire pré-RDV
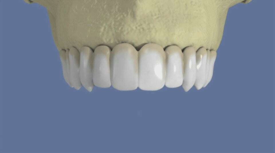
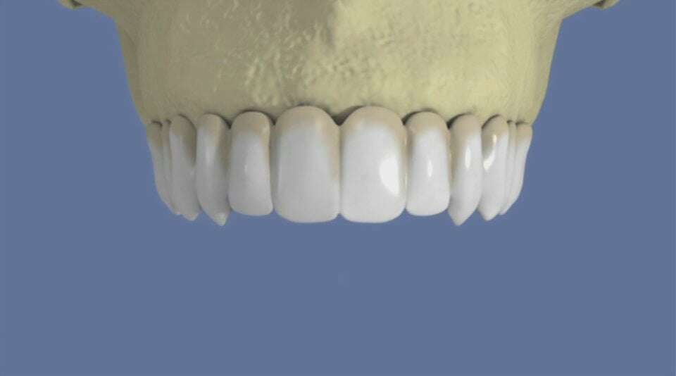
Maxillaire : bridge vissé sans fausse gencive
Vidéos 3D
Partager
Twitter
Partager
Partager
Envoyer
Copier
Cabinet dentaire du Docteur Aurélien TREILLE, Chirurgien-dentiste à Nice
12, Avenue Malaussena
06000
NICE
+33 4 93 85 85 26
Politique de confidentialité et charte cookie
Mentions légales
Conditions Générales Utilisation
Charte déontologique
Ordre national
Annuaires chirurgiens dentistes
HYGIÈNE & ASEPSIE
HONORAIRES & REMBOURSEMENT
Rechercher dans le blog Blog
Création par
Connexion
Vidéo en cours de lecture